Worn or Broken Teeth
As we age, teeth begin to show wear. The Bioclear Method can restore your existing tooth structure without aggressive treatment options like crowns or veneers. Crowns and Veneers require removal of healthy tooth structure to make room for restoration placement. With Bioclear you can retain more healthy tooth structure.
Case Studies

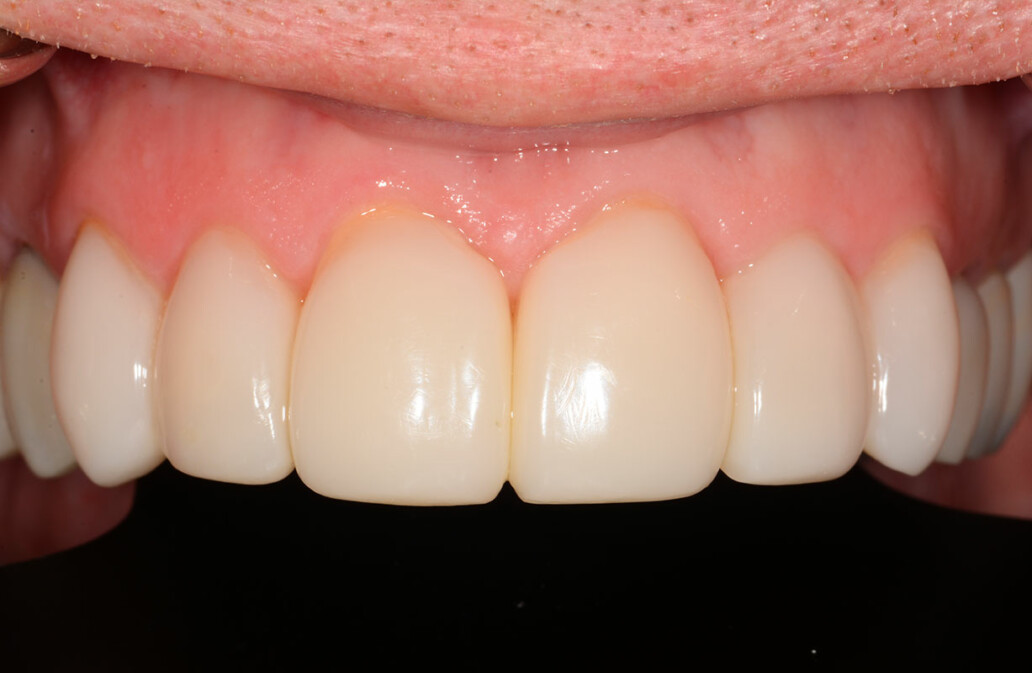
Karen
Patient Concern: Searching for an alternative to crowns and veneers to restore years of wear
Treatment: Upper Arch: Bioclear 360° Veneers, Bioclear Root Overlays

BEFORE

AFTER
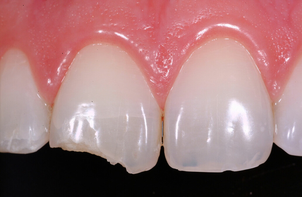
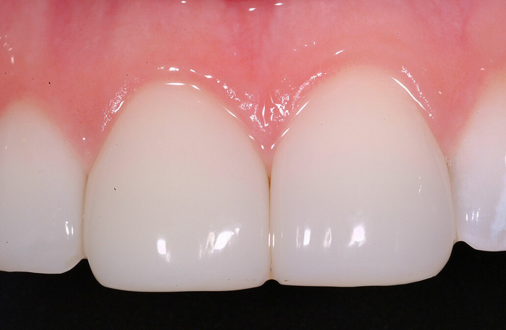
Jessica
Patient Concern: Accidental fall resulting in broken front tooth
Treatment: Bioclear 360° Veneer Overlay

BEFORE

BEFORE

AFTER

AFTER
John
Patient Concern: Uneven smile, worn/thinning teeth, a few slightly rotated tooth, diastema opening
Treatment: Bioclear Diastema Closure, Bioclear Root Overlays, Bioclear 360° Veneer Overlays

BEFORE

AFTER

BEFORE

AFTER