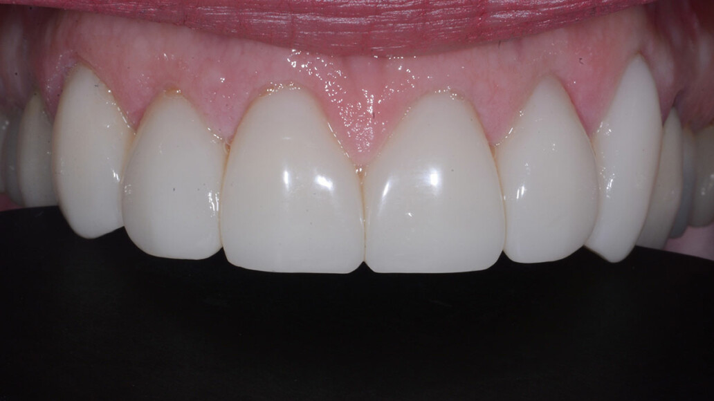
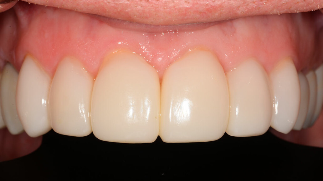
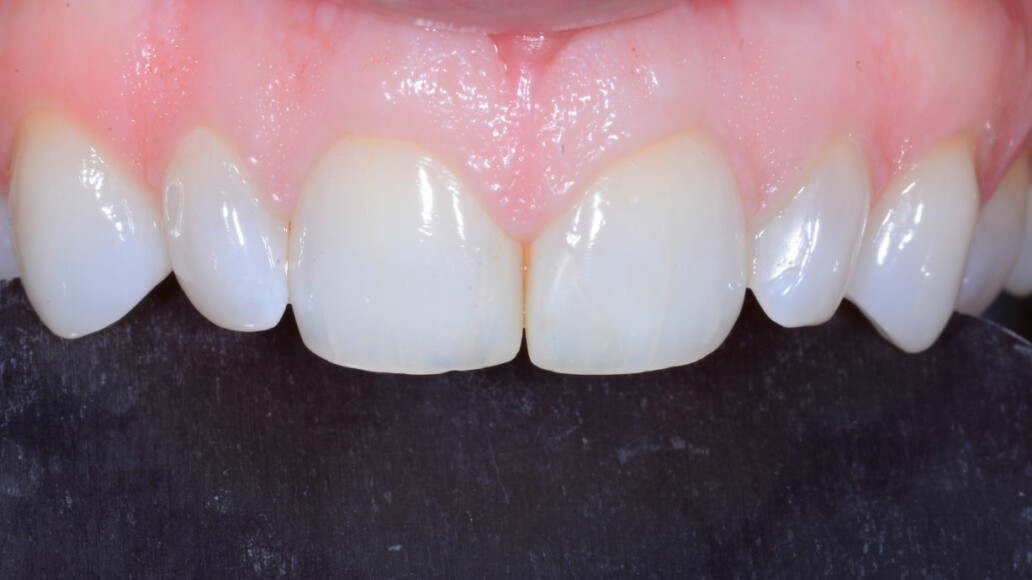
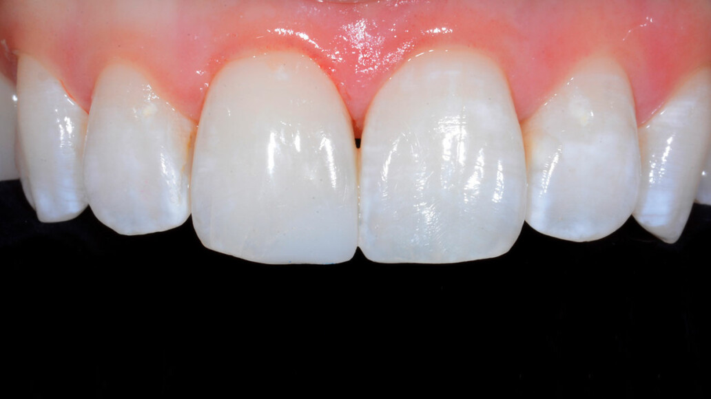
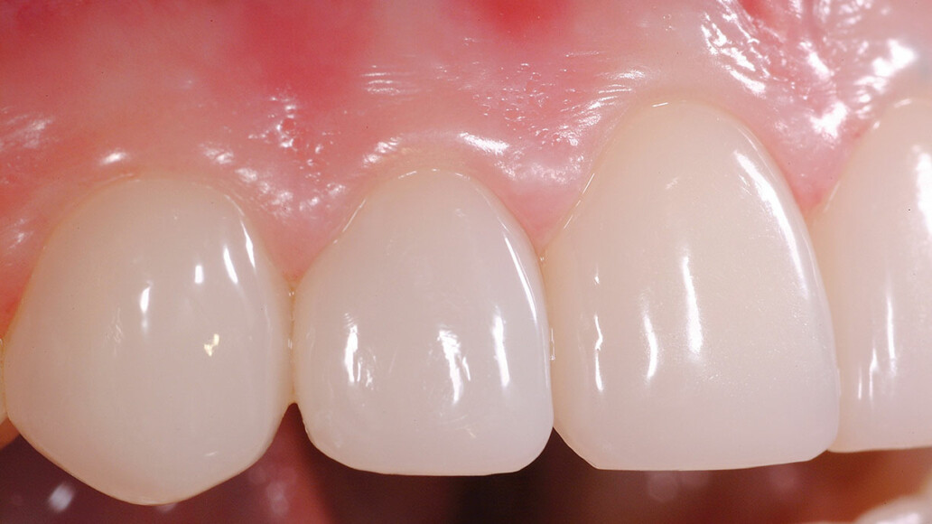
Bioclear Results Gallery Bioclear 360° Veneer Overlays Bioclear 360° Veneer Overlays Bioclear Black Triangle Closure Bioclear Black Triangle Closure Bioclear Black Triangle Closure Bioclear Diastema Closure Bioclear Diastema Closure Bioclear Posterior Overlay vs. Crown Bioclear Posterior Overlay vs. Filling Bioclear Posterior Overlay vs. Root Canal & Crown Chipped Tooth Restoration Diastema Closure and Worn Teeth Restoration Undersized Teeth Worn Teeth Restoration