Bioclear 360° Veneer Overlays
Darin
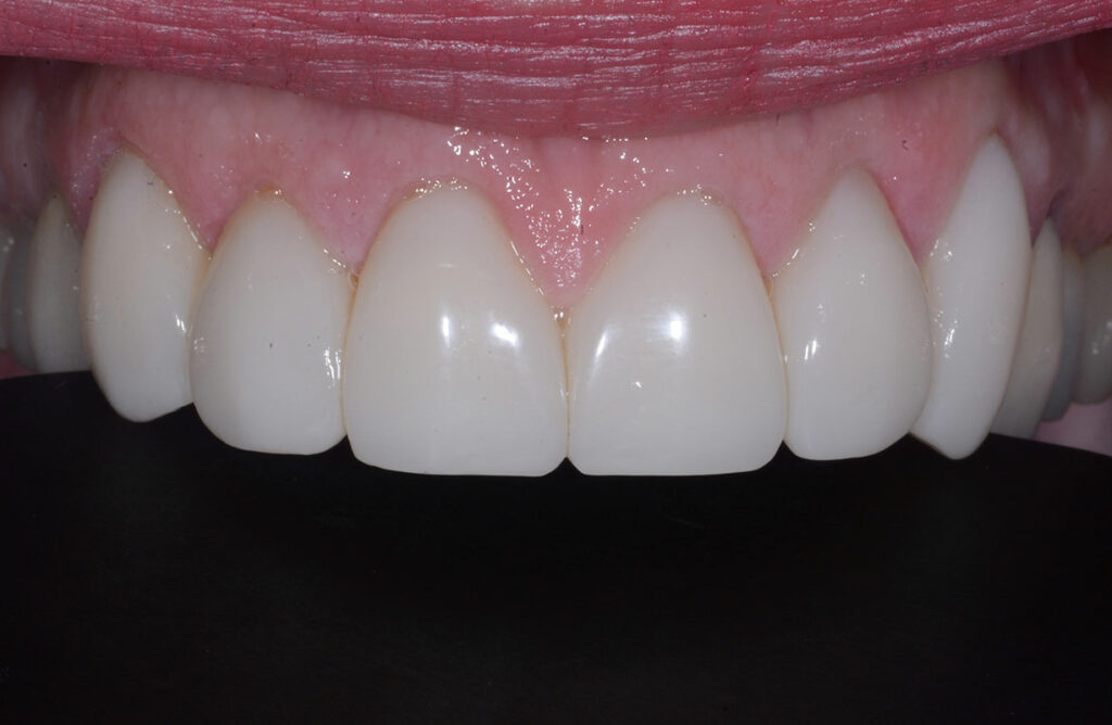
Patient Concern: Years of wear, this patient dentist was looking for an alternative to crown and veneer treatment to rejuvenate his smile
Treatment:
Upper Arch: Bioclear 360° Veneer Overlays,Bioclear Root Overlays
Lower Arch: Bioclear 360° Veneer Overlays, Bioclear Root Overlays
BEFORE
AFTER
BEFORE
AFTER



