Diastema Closure
Rebecca
Patient Concern: Gap between front teeth
Treatment: Bioclear Diastema Closure, Bioclear 360° Veneer Overlay
BEFORE
AFTER
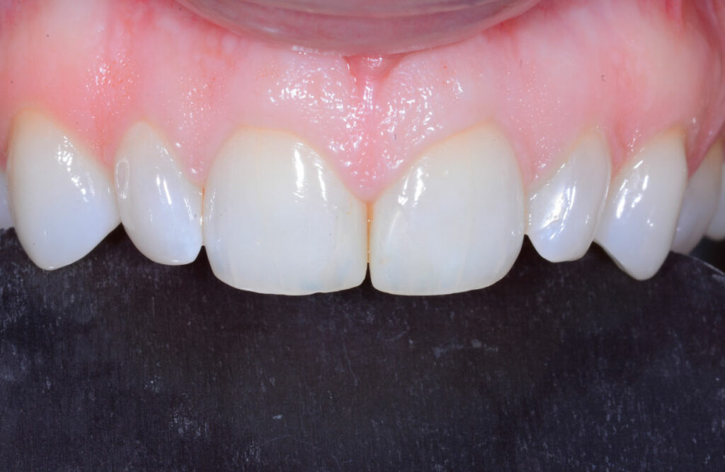
Patient Concern: Gap between front teeth
Treatment: Bioclear Diastema Closure, Bioclear 360° Veneer Overlay
BEFORE
AFTER