Undersized Teeth
Sydney and Willow
Patient Concern:Undersized teeth, spaces in smile, uneven shaped teeth
Treatment: Bioclear Diastema Closure, Bioclear 360° Veneer Overlay
BEFORE
AFTER
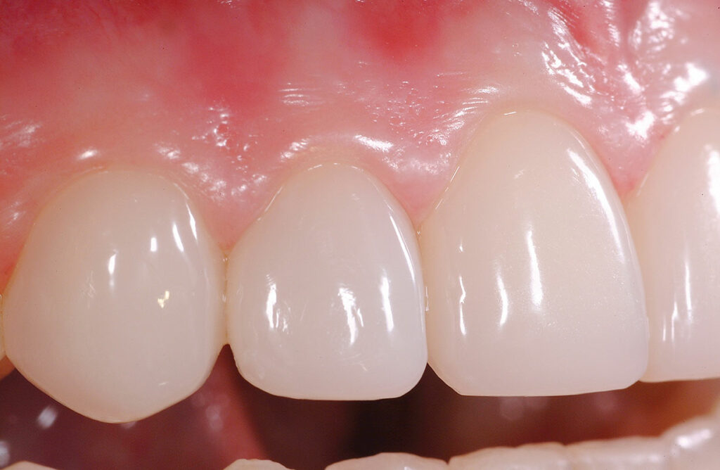
Patient Concern:Undersized teeth, spaces in smile, uneven shaped teeth
Treatment: Bioclear Diastema Closure, Bioclear 360° Veneer Overlay
BEFORE
AFTER