Worn Teeth
Jessica
Patient Concern: Accidental fall resulting in broken front tooth
Treatment: Bioclear 360° Veneer Overlay
BEFORE
BEFORE
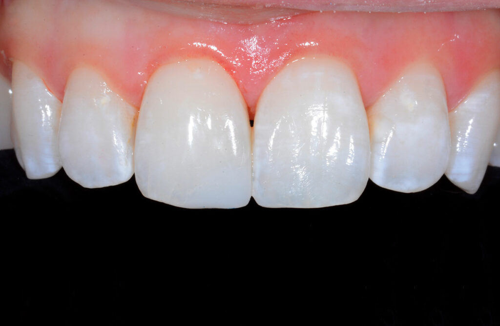
AFTER
AFTER
Patient Concern: Accidental fall resulting in broken front tooth
Treatment: Bioclear 360° Veneer Overlay
BEFORE
BEFORE
AFTER
AFTER