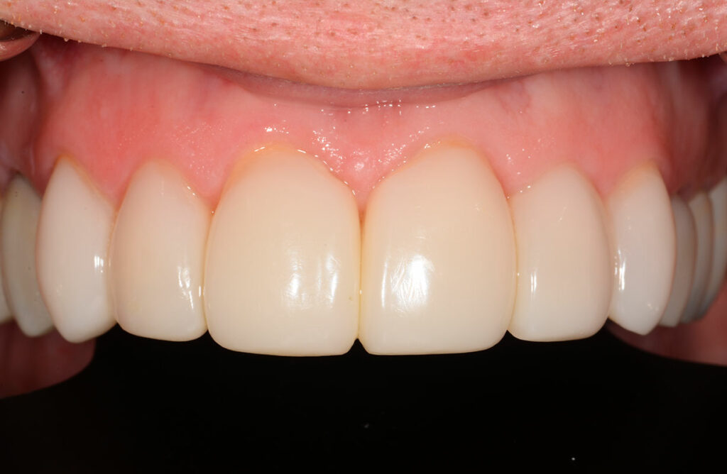
Diastema Closure and Worn Teeth Restoration
John
Patient Concern: Uneven smile, worn/thinning teeth, a few slightly rotated teeth, diastema opening
Treatment: Bioclear Diastema Closure, Bioclear Root Overlays, Bioclear 360° Veneer Overlays
BEFORE
AFTER
BEFORE
AFTER



